ジルコニアセラミック・矯正用マウスピース装置なら「デンタル・ビジョン」

30年の経験で築く、信頼の補綴物
長持ちする歯は、
細部こだわりから
Enduring
Teeth,Perfected in
Detail

scroll down

About Us

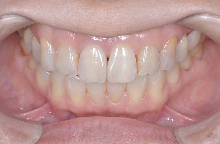
私たちは、患者さま
のお口にセットされる
セラミックの被せ物やマウスピース矯正装置を作製しています

神奈川県横浜市にある当技工所は、歯科医院から届く歯型や設計データをもとに、被せ物、詰め物、マウスピース装置などの歯科技工物を作製する専門の会社です。デンタル・ビジョンでは、30年以上の経験と最新のデジタル技術を組み合わせ、一つひとつの補綴物を精密に仕上げています。

私たちは、長く安心して使える品質を大切にしており、患者さまのお口に直接装着されるものだからこそ、細部までこだわり抜いた高品質な技工物をお届けしています。

01

歯科医院

むし歯などの
治療を行う

02

歯科医院

型採り

03

デンタルビジョン

詰め物・被せ物を
精密に製作

04

歯科医院

患者さまの
お口にセット

Attention
to detail

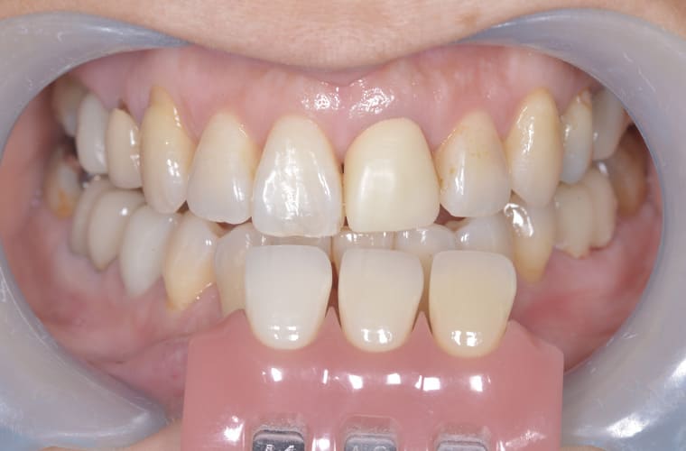
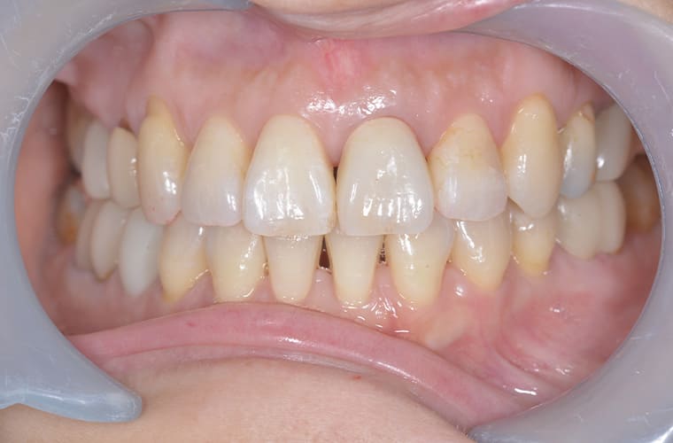
技工物の精度が、
歯の長期的な健康を支えます

技工物のわずかなすき間が虫歯や歯周病の再発を招くことがあります。だからこそ、ぴったりと適合する補綴物を作ることが、歯を長く健康に保つ大切な要素となります。

当技工所では、熟練の歯科技工士が技工物をハンドメイドで細部まで作りこみ、デジタルとアナログの融合によって、長期的に安心できる技工物をご提供しています。

01

01

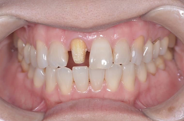
虫歯再発を防ぐための
精密な技工物づくりへの
強い思い

歯科治療で最も避けたいのは、治療した歯が再び虫歯になる二次カリエスです。その原因の多くは、補綴物と歯の間に生じるわずかなすき間にあります。
当技工所では、熟練の技工士が模型との誤差をしっかり補正し、一つずつ丁寧に仕上げています。こうした細部への徹底的なこだわりが、長期的な口腔健康を守る技工物につながっています。

02

02

技工所設立30年以上
信頼と技術

代表の鈴木は、歯科技工士として30年以上の経験を持ち、多くの講演や技術指導を行ってきました。
ジルコニアやペクトンなどの最新素材の普及にも携わり、ゼノスター国内代理店である大信貿からの依頼により公式講師も務めています。さらに、「IDS(ケルン国際デンタルショー)」にも参加し、常に世界の最新技術や知見を取り入れています。

03

03

最初から最後まで
同じ歯科技工士
一貫して作製

当技工所では、一つの補綴物を最初から最後まで同じ技工士が担当する“一貫体制”を採用しています。分業制に比べて時間や労力はかかりますが、その分、仕上がりに一切のブレがなく、細部まで統一感のある補綴物を提供できます。
担当技工士が歯科医院と直接やり取りを行い、症例ごとの要望にきめ細かく対応することで、より患者さまの口腔環境に適した補綴物を作製することが可能です。

04

04

患者さまの
自然な表情を引き出す
オーダーメイドの補綴物作り

歯科技工物は、単に噛めるだけでは十分ではありません。患者さま一人ひとりの口元や笑顔に調和することが大切です。
当技工所では、歯の形や色調はもちろん、顔全体のバランスや表情との調和まで考慮したオーダーメイド設計を行っています。必要に応じて歯科医院に立ち会い、世界に一つだけの補綴物で、患者さま本来の表情を引き出します。

当社のコンセプトを見る

Product types

デンタル・ビジョン
での対応技工物

ジルコニアセラミック

  • 透明感のある自然な前歯にしたい
  • 強度が高く長持ちする被せ物にしたい
  • 金属アレルギーの心配をなくしたい
ジルコニアセラミックについて見る

矯正用マウスピース装置
「be smiler」

  • 前歯の軽度なズレをきれいに整えたい
  • 補綴治療の前に矯正を行いたい
  • 目立ちにくい装置で治療を受けたい
矯正用マウスピース装置について見る

インプラントの被せ物・土台

  • 自然で違和感のないインプラントにしたい
  • 丈夫で長持ちする土台を入れたい
  • 噛み心地をできるだけ良くしたい
インプラントの被せ物・土台について見る

ご相談は
各かかりつけ医院へ
お申しつけください。

Case

製作事例

製作事例について詳しく見る

For Dental Clinics

歯科医院さま・
歯科技工所の皆さまへ

デンタル・ビジョンでは、歯科医院さまや歯科技工所さまからのご依頼に応じて、高精度な技工物を作製しています。ジルコニアセラミックをはじめとする補綴物や矯正用マウスピース装置、インプラント関連の被せ物や土台まで、幅広く対応可能です。一つひとつの症例に合わせ、丁寧に仕上げることを大切にし、患者さまのお口の中で長く安心して使っていただける技工物をご提供いたします。

お取引の詳細や対応技工物の一覧、作製の流れにつきましては、以下のページよりご確認ください。

Contact

お問い合わせは電話または
メールフォーム、
STLデータの送信は専用フォームをご利用ください

Recruit

一つひとつの
仕事にこだわる
仲間を募集しています

デンタル・ビジョンでは、共に高精度な技工物づくりに取り組む歯科技工士を募集しています。
経験豊富な技工士による技術指導の機会もあり、日々の業務を通して成長できる環境です。患者さまの笑顔を支えるものづくりに情熱を持ち、精度にこだわる姿勢を大切にできる方のご応募をお待ちしています。

採用情報を見る