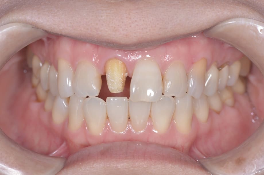
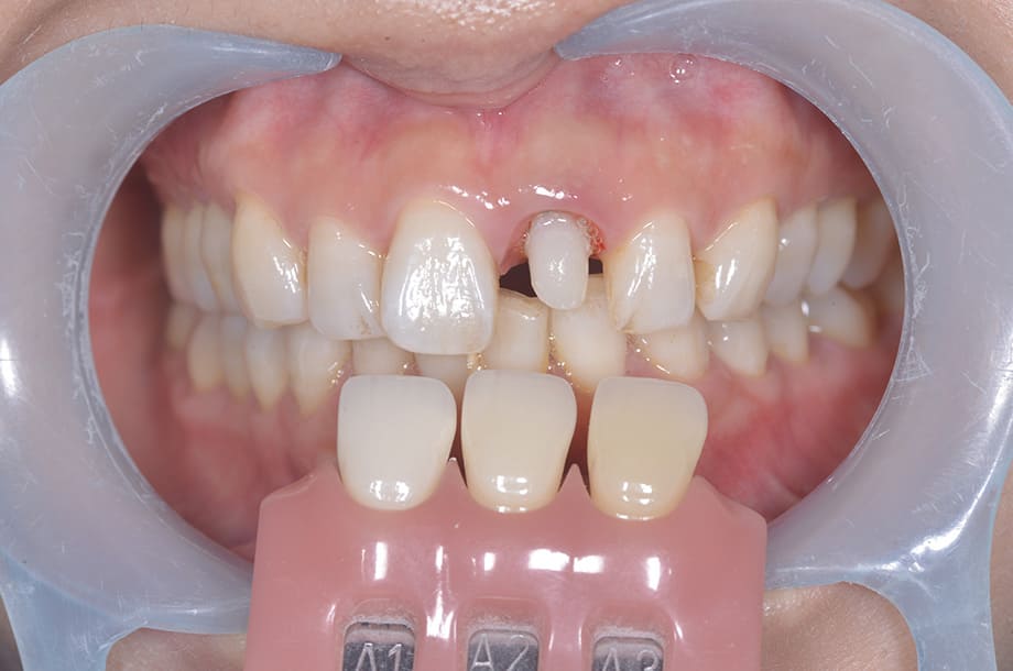
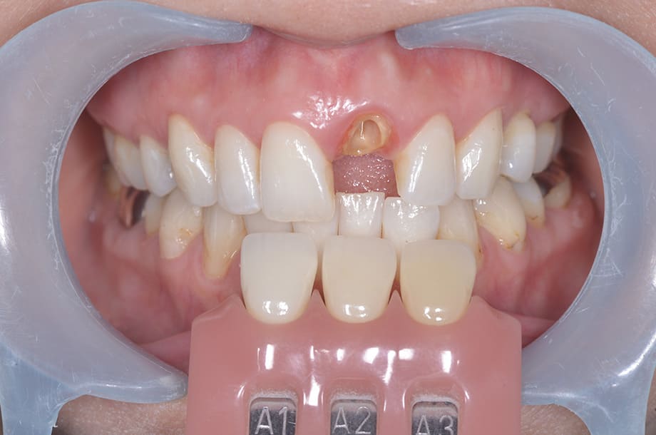
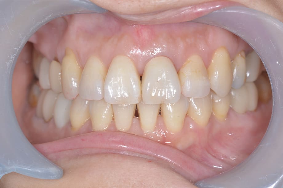
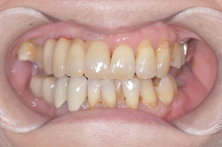
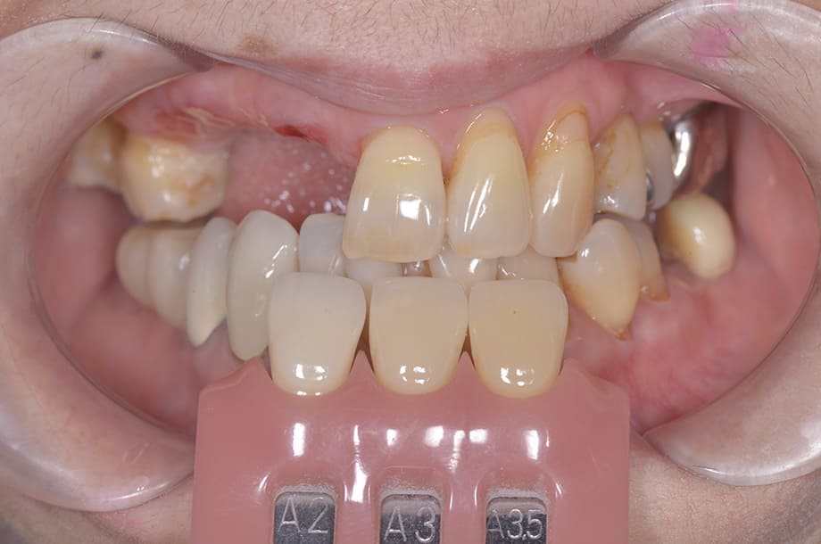
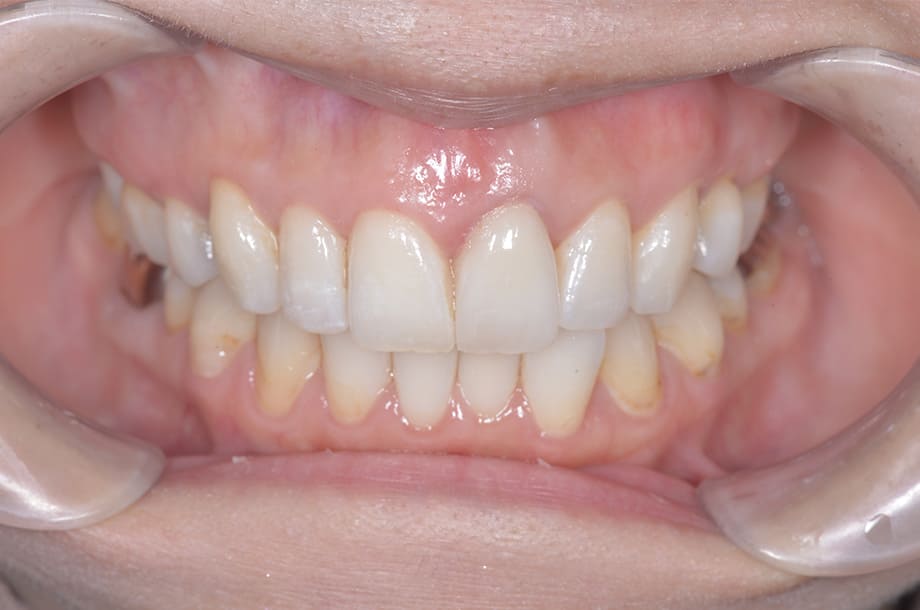
製作事例
神奈川県横浜市にある当技工所では、見た目だけでなく、噛み合わせや機能性にもこだわった補綴物の製作を行っています。
このページでは、実際に作製した被せ物の事例をご紹介しています。患者さま一人ひとりのお口に合わせて、精密で丁寧な技工物を仕上げております。参考として、ぜひご覧ください。
受付時間
月~土 9:00~18:00
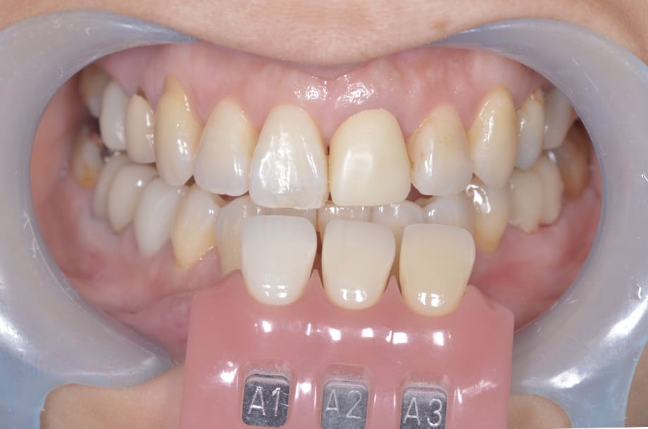
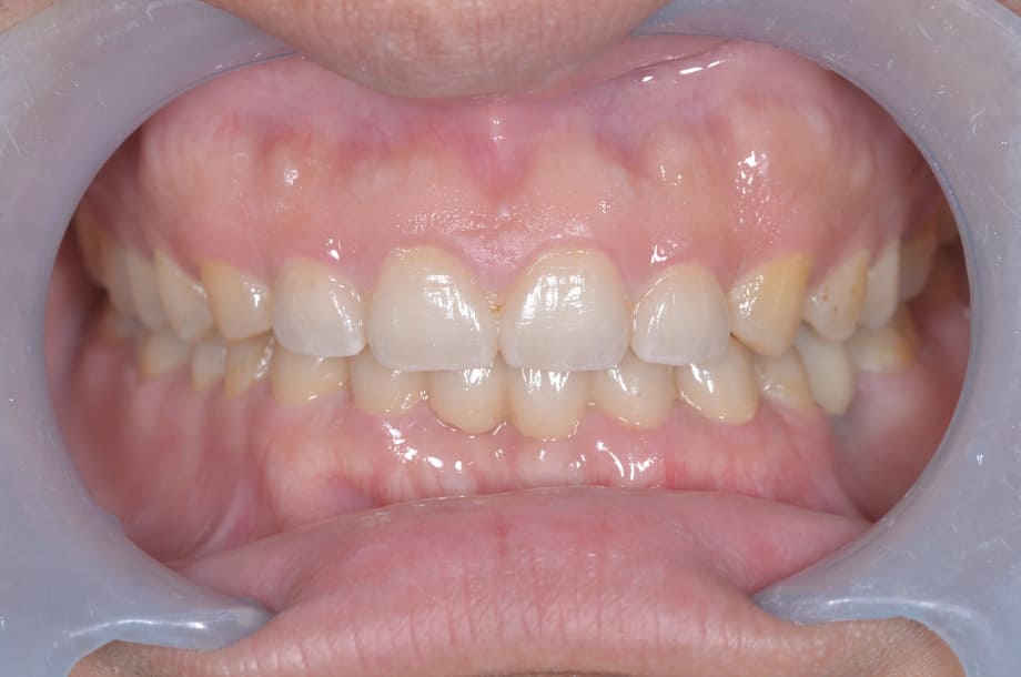
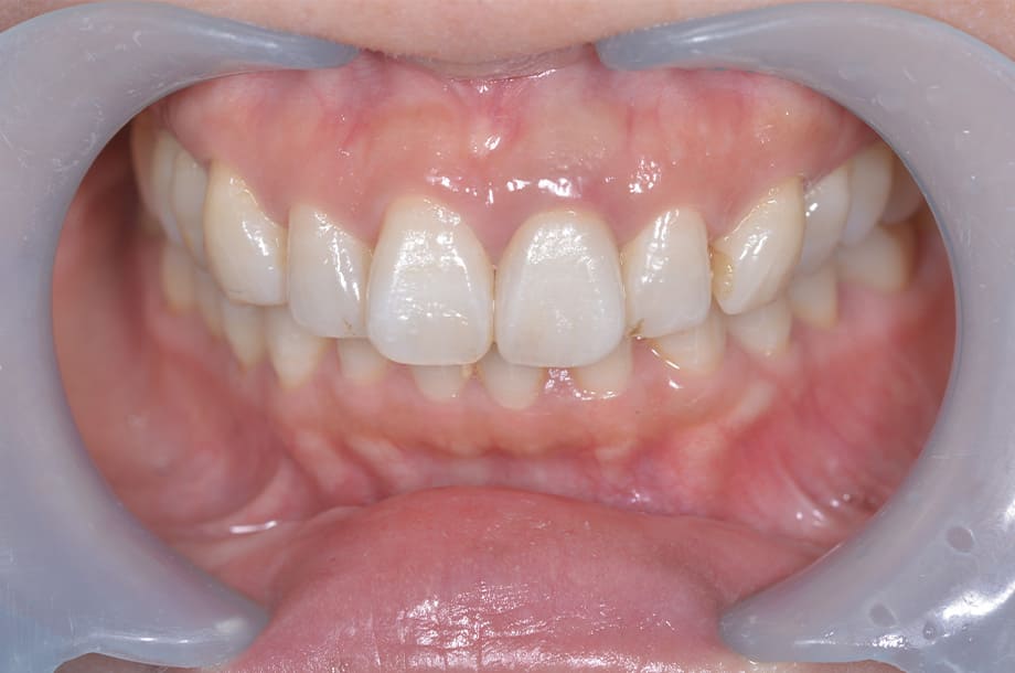
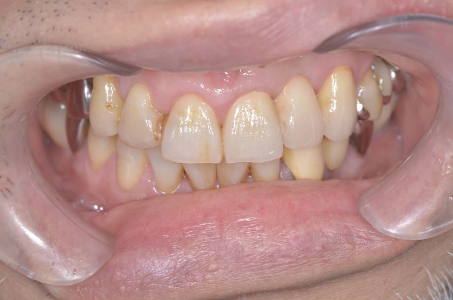
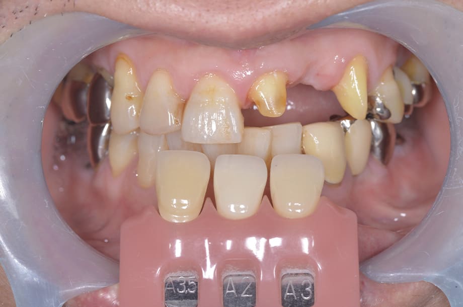
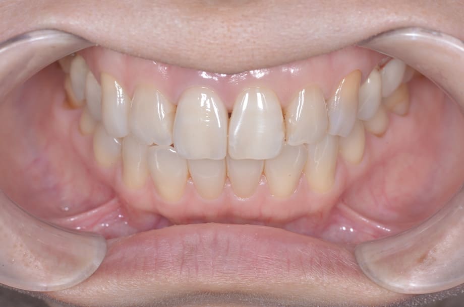
製作事例
神奈川県横浜市にある当技工所では、見た目だけでなく、噛み合わせや機能性にもこだわった補綴物の製作を行っています。
このページでは、実際に作製した被せ物の事例をご紹介しています。患者さま一人ひとりのお口に合わせて、精密で丁寧な技工物を仕上げております。参考として、ぜひご覧ください。